Specialised Endodontic Care for Referring Dentists

Precise, evidence-based endodontic treatment provided by
Dr Erard van den Heever – Specialist Endodontist

Refer a patient
get in touch
Our Scope of Practice

We provide specialist management of:

  • Primary root canal treatment

  • Retreatment of failed endodontics

  • Endodontic diagnosis and treatment planning

  • Management of complex dental pain and infection

  • Why refer to our practice

    Specialist-Led Care

    Dr van den Heever provides specialist-level diagnosis and treatment using modern endodontic techniques and technology.
     Each case is managed with precision, efficiency, and close attention to detail to ensure
    predictable results and continuity of care.

  • Specialist-only endodontic practice

  • Advanced magnification and diagnostic imaging

  • Predictable, evidence-based outcomes

  • Efficient appointment scheduling with minimal disruptions

  • Clear communication and timely feedback

  • Seamless return of patients for restorative care

  • Refer a patient

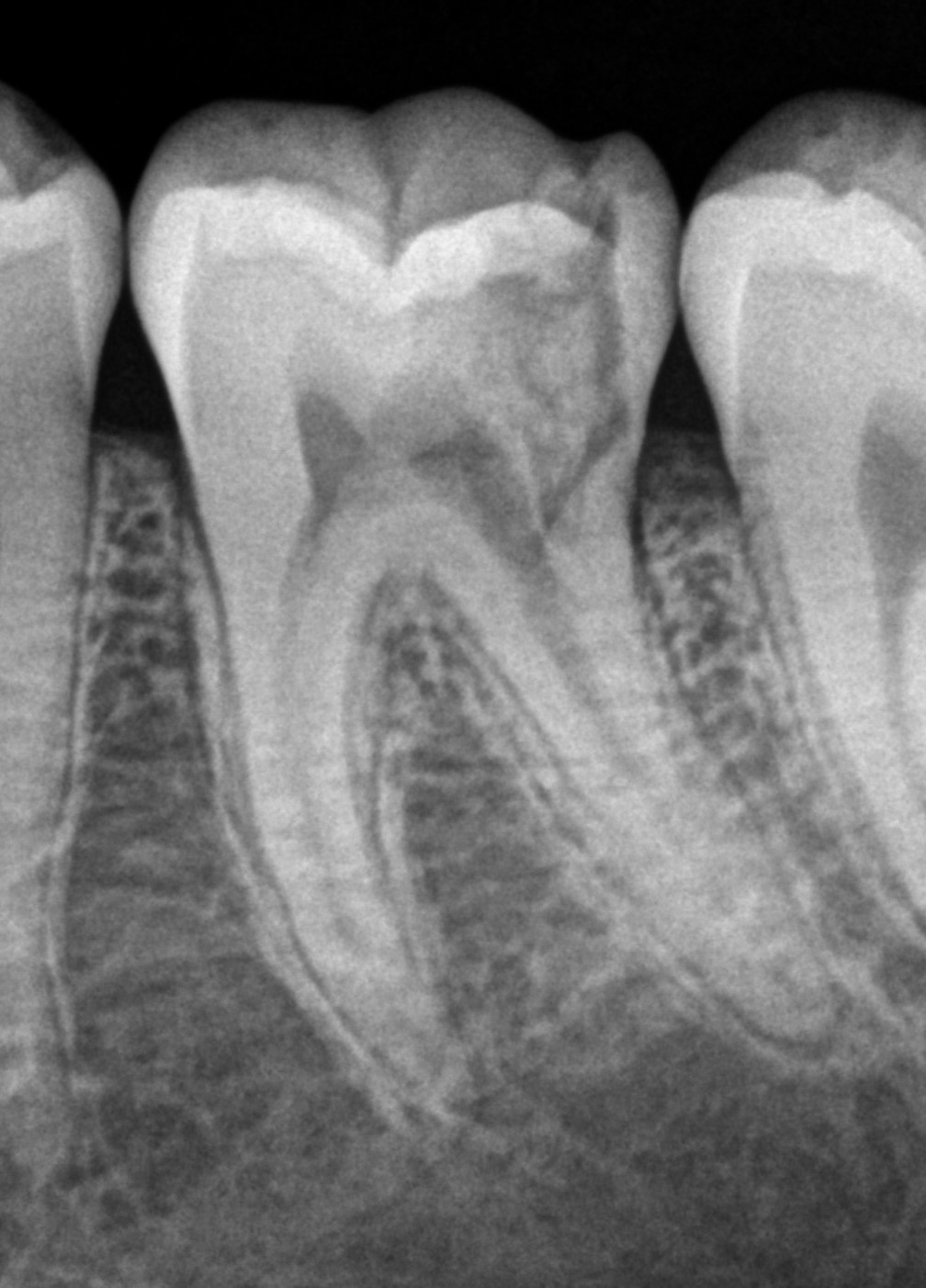
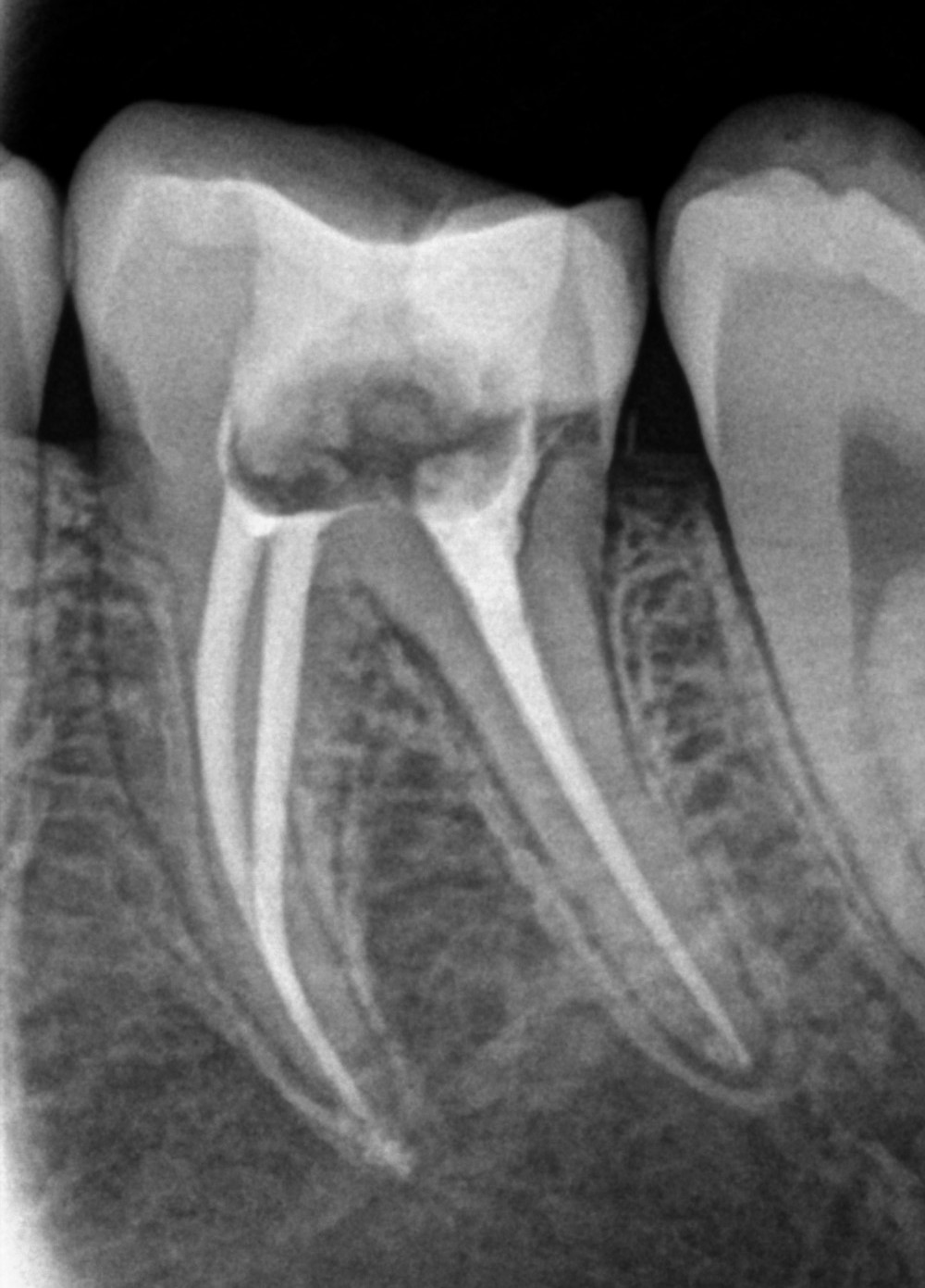
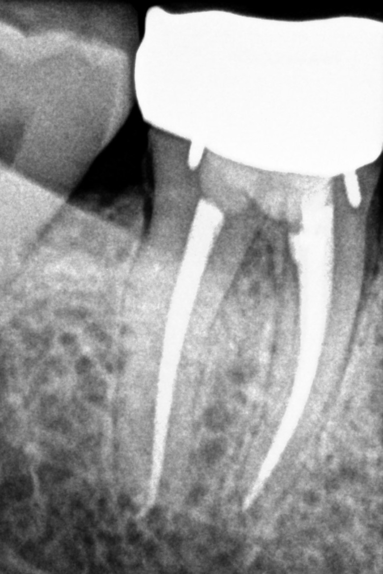
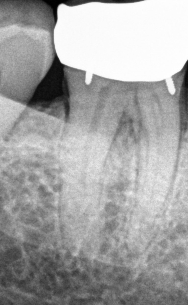
    See My Work

    Cases