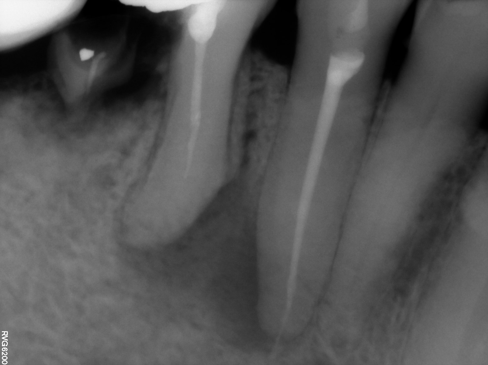
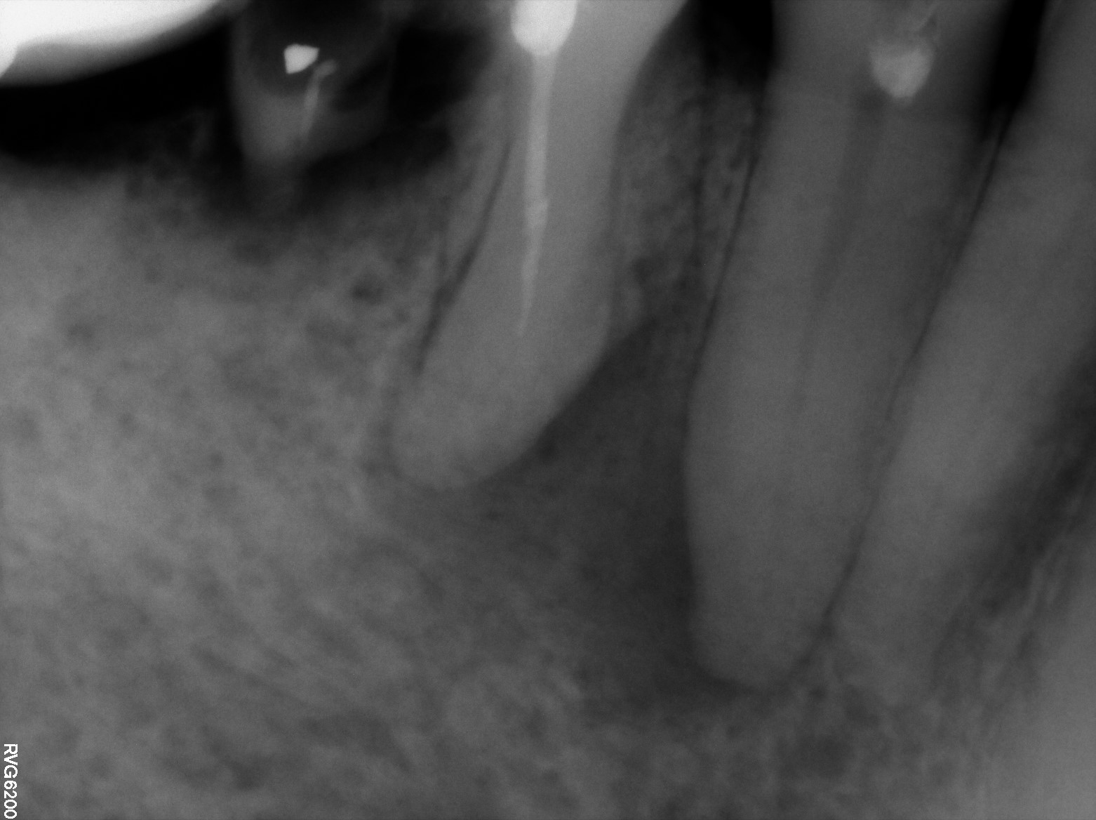
Endodontic cases
These cases highlight a range of endodontic diagnoses and treatments managed within a specialist setting. They provide insight into the assessment, treatment planning, and evidence-based management of complex cases, reflecting a systematic approach focused on preserving natural dentition and supporting referring clinicians through clear clinical rationale and outcomes.
Case asdkjenflknflksdc kd c
Case asdkjenflknflksdc kd c